Protez Tedavisi
Sabit ve hareketli protez seçenekleri ile kaybedilen dişlerin fonksiyon ve estetiğini geri kazandırıyoruz.
Randevu Al
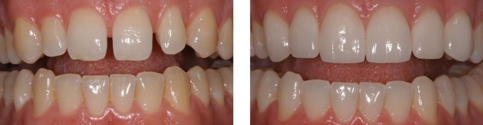
Çeşitli nedenlerle oluşmuş diş eksikliklerini gidermek, kişiye çiğneme fonksiyonunu yeniden kazandırmak, fonetik ve estetik problemlere çözüm üretmek için diş protezlerinden yararlanırız. Protezler sabit ve hareketli protezler olmak üzere ikiye ayrılmaktadır:
Sabit Protezler

Doğal dişlerden destek alınarak, yapılan bir takım hazırlıklardan sonra, destek dişlerin üzerine yapıştırılıp sabitlenerek kullanılan protezlere denir. Eksik bölgeye komşu, yeterli sayıdaki destek dişin frezlerle preparasyonu (aşındırılması) sonrasında ölçü alınarak laboratuvar ortamında sabit protezler hazırlanır. Sabit protezler ya da porselen kuron ve köprüler de kendi arasında sınıflandırılabilir:
- Metal altyapılı kuron ve köprüler
- Zirkonyum altyapılı kuron ve köprüler
- Metalsiz kuron ve köprüler (full porselen kuronlar, porselen laminalar vb.)
Porselen Laminalar

Özellikle ön grup dişlerde uygulanabilen çok ince seramiklerdir. Porselen laminalar, diş dokusundan çok az madde kaldırarak veya çoğu zaman hiç preparasyon gerektirmeden uygulanabilen restorasyonlardır. Laminaların inceliği ve ışık geçirgenliğinin çok iyi olması sayesinde, estetik olarak mükemmel sonuçlar alınabilmektedir. Uygulanabileceği durumlar:
- Beyazlatmayla giderilemeyen renklenme problemi olan dişlerde
- Kırık ve aşınmış dişlerin restorasyonlarında
- Çapraşıklık problemlerinde, şekil-form bozukluklarında
- Aralıklı (diastema) dişlerde
- Büyük, yıpranmış ve renklenmiş dolguların varlığında
- Estetik açıdan dişlerinin görüntüsünden memnun olmayan kimselerde
Hareketli Protezler
Diş eksikliğini gidermek için takılıp çıkartılarak kullanılan apareylerdir. Tam (total) protezler ve Parsiyel (bölümlü) protezler olarak ikiye ayrılırlar.
Tam (Total) Protezler
Tüm dişlerini kaybetmiş kişilere uygulanan, tamamen mukoza ve altındaki kemik tarafından desteklenen, takılıp çıkartılabilen aygıtlardır.
Parsiyel (Bölümlü) Protezler
Dişlerinin bir kısmını kaybetmiş olan hastalara yapılan, metal bir iskelet üzerine inşa edilen ve mevcut dişlerden kroşeler (kanca) ya da hassas tutucular aracılığıyla destek alan protez türüdür.
Hassas Bağlantılı Protezler
Destek dişler üzerine yerleştirilen kroşeler (kancalar) estetiği olumsuz yönde etkilediği gibi plak birikimi, dişlerde aşınmalar ve uygun olmayan kuvvetlerin dişlere iletilmesi, retansiyon ve stabilitelerinin iyi olmaması gibi birtakım dezavantajları da beraberlerinde taşımaktadırlar. Bu dezavantajları bertaraf etmek için Hassas Bağlantılı Protezler kullanılmaktadır. Hassas bağlantı terimi, sabit veya hareketli parsiyel protezlerin parçalarını birleştirmek için kullanılan prefabrike veya laboratuarda teknisyen tarafından üretilen ataşmanları ifade etmektedir. Bir çeşit menteşe sistemidir, bir yuva (dişi bölüm) ve bu yuvaya oturan bir erkek parçadan oluşmaktadır. Amaç görünmeyen tutucularla protezin estetiğini düzeltmektir.
Diş Üstü ve İmplant Üstü Protezler
Ağızda mevcut olan doğal dişler ve/veya sağlam kökler üzerine doğrudan doğruya oturan ve takılıp çıkartılabilen total veya bölümlü protezlere Diş Üstü Protezler, retansiyon, destek ve stabilite sağlayabilmek için kısmen veya tamamen diş implantlarını kullanan protezlere İmplant Üstü Protezler adı verilir. İmplant üstü protezler sabit veya hareketli olabilirler.
Sıkça Sorulan Sorular
Protez tedavisi ne kadar sürer?
Protez tedavisi süresi, protez tipine göre değişir. Sabit protezler (kuron-köprü) genellikle 5-7 günde tamamlanırken, hareketli protezler 2-3 hafta içinde hazır hale gelir. İlk seansta ölçü alınır, ara seviyelerde provalar yapılır ve son seansta protez teslim edilir.
Protez takıldıktan sonra ağrı olur mu?
İlk günlerde hafif hassasiyet ve alışma süreci normal karşılanmalıdır. Özellikle hareketli protezlerde ilk 1-2 hafta alışma dönemi olabilir. Sabit protezler genellikle daha konforludur. Sürekli ağrı veya rahatsızlık varsa mutlaka diş hekiminize başvurmalısınız.
Protezler ne kadar dayanır?
Kaliteli materyallerle yapılan sabit protezler (zirkonyum, porselen) 10-15 yıl veya daha uzun süre kullanılabilir. Hareketli protezler ise 5-7 yıl sonra yenilenmesi önerilir. Düzenli bakım, iyi ağız hijyeni ve periyodik kontroller protezin ömrünü uzatır.
Protez bakımı nasıl yapılır?
Sabit protezler normal dişler gibi günde 2 kez fırçalanmalı ve diş ipi kullanılmalıdır. Hareketli protezler her gün çıkarılıp protez fırçası ve sabunla temizlenmeli, geceleri protez temizleme solüsyonunda bekletilmelidir. Ayrıca yılda 2 kez diş hekimi kontrolü şarttır.
Protez ile normal yemek yenebilir mi?
Evet, protez tedavisi tam olarak bu amaçla yapılır. Sabit protezlerle normal dişleriniz gibi rahatça yiyebilirsiniz. Hareketli protezlerde ilk haftalarda yumuşak yiyecekler tercih edilmeli, alışma süreci sonrası normal beslenmeye geçilmelidir.
Zirkonyum kaplama mı porselen kaplama mı daha iyi?
Her ikisi de kaliteli seçeneklerdir. Zirkonyum kaplamalar daha dayanıklı, metal altyapısız olduğu için daha estetik ve ışık geçirgenliği daha iyidir. Porselen kaplamalar ise daha ekonomik bir seçenektir. Ön dişlerde estetik açıdan zirkonyum, arka dişlerde dayanıklılık açısından her ikisi de tercih edilebilir.
Porselen laminalar ne kadar dayanır?
Doğru bakım ve kullanımla porselen laminalar 10-15 yıl veya daha uzun süre kullanılabilir. Çok sert cisimler ısırmaktan, diş sıkmaktan kaçınılmalı, düzenli diş hekimi kontrollerine gidilmelidir. Laminalar çok ince olduğu için özel özen gerektirir.
Protez Tedavisi Hakkında Detaylı Bilgi Alın
Uzman diş hekimlerimiz tüm sorularınızı yanıtlamak için hazır. Hemen bizi arayın.
Diğer Hizmetlerimiz

İmplantoloji
Eksik dişleriniz için en modern ve kalıcı çözüm. Titanyum implantlarla doğal diş görünümü ve fonksiyonu. Çekmeköy'de deneyimli kadromuzla implant tedavisi.

Ortodonti
Diş teli ve şeffaf plak tedavileri ile düzgün, sağlıklı gülüşler. Her yaşa uygun ortodonti çözümleri. Çekmeköy'de uzman ortodonti tedavisi için randevu alın.

Endodonti (Kanal Tedavisi)
Enfekte olmuş dişleri kurtaran kanal tedavisi. Ağrısız ve konforlu tedavi süreci.